Skip to content Skip to sidebar Skip to footer

Widget HTML #1

Icd Pacemaker X Ray : Artificial Cardiac Pacemaker Wikipedia : Pacemakers are classified by the nature of their pacing mode.

Icd Pacemaker X Ray : Artificial Cardiac Pacemaker Wikipedia : Pacemakers are classified by the nature of their pacing mode.. An implantable cardioverter defibrillator (icd) looks similar to a pacemaker, though slightly larger. Terms in this set (83). Yes an icd and the procedure is at or above the umbilicus as determined by the surgeon, proceduralist or designee. It also contains a computer that tracks your national heart, lung, and blood institute: Accessed on june 11th 2021.

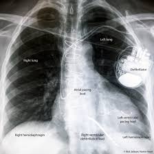
Icds have revolutionized the treatment of patients at risk for sudden cardiac death due to ventricular tachyarrhythmias. Movement and/or vibration of the pulse generator or leads. Like a pacemaker, an implantable cardioverter defibrillator, or icd, is a device placed under your skin. Die icd elektroden liegen regelrecht im rechten vorhof und im rechten ventrikel. Icd 10 code for pacemaker.

Implantable Cardioverter Defibrillators Icd Cardiovascular Disorders Msd Manual Professional Edition
Implantable Cardioverter Defibrillators Icd Cardiovascular Disorders Msd Manual Professional Edition from www.msdmanuals.com
Icd 10 code for pacemaker. Implanting a pacemaker in your chest requires a surgical procedure. Devices that may interfere with icds and pacemakers. Pertinent factors relating to each manufacturer's devices are referenced according to: Accessed on june 11th 2021. Die icd elektroden liegen regelrecht im rechten vorhof und im rechten ventrikel. Learn vocabulary, terms and more with flashcards, games and other study tools. Which pacemaker/icd is that again.

Movement and/or vibration of the pulse generator or leads.

Paces the heart muscles by providing an electrical. Another type of pacemaker is called a biventricular pacemaker. Explore more like icd vs pacemaker x ray. The aim of this study is to describe the incidence of lead. While pacemaker's job is to treat slow heart rate, icd's job is to treat very fast chaotic heart rhythm. Classification follows pacemaker code developed by the north american society of pacing and electrophysiology (naspe) and the british pacing and electrophysiology group (bpeg). Devices that may interfere with icds and pacemakers. Learn vocabulary, terms and more with flashcards, games and other study tools. Pacemakers and implantable cardiac defibrillators (icds) are widely used for the management of cardiac arrhythmias and congestive heart failure (chf). Terms in this set (83). How does an implantable cardioverter defibrillator work? how will a pacemaker affect my lifestyle? Once the wires are in place, your doctor will make a small cut into the. Implantable cardiac conduction devices (also known as cardiac implantable electronic devices or cieds) are a very common medical device of the thorax cardiac pacemakers may be temporary or permanent, with the latter commonly known by the acronym ppm (permanent pacemaker).

Once the wires are in place, your doctor will make a small cut into the. Implantable cardiac conduction devices (also known as cardiac implantable electronic devices or cieds) are a very common medical device of the thorax cardiac pacemakers may be temporary or permanent, with the latter commonly known by the acronym ppm (permanent pacemaker). Acute implantation complication rates range from 3% to 7%. Pertinent factors relating to each manufacturer's devices are referenced according to: Icd 10 code for pacemaker.

A Rare Cause Of Implantable Cardiac Defibrillator Malfunction Bmj Case Reports
A Rare Cause Of Implantable Cardiac Defibrillator Malfunction Bmj Case Reports from casereports.bmj.com
Which pacemaker/icd is that again. Accessed on june 11th 2021. Yes an icd and the procedure is at or above the umbilicus as determined by the surgeon, proceduralist or designee. By sorin lazar, henry huang and erik wissner. Pacemaker and icd troubleshooting, 2016. Terms in this set (83). Doctors also treat arrhythmias with implantable cardioverter defibrillators (icds). Pacemakers and implantable cardiac defibrillators (icds) are widely used for the management of cardiac arrhythmias and congestive heart failure (chf).

Icds are similar to pacemakers.

37.71 initial insertion of transvenous lead (electrode) into ventricle 02hk3jz insertion of pacemaker lead into right ventricle, percutaneous approach 37.72 initial insertion of transvenous leads (electrodes). Like a pacemaker, an implantable cardioverter defibrillator, or icd, is a device placed under your skin. Terms in this set (83). Accessed on june 11th 2021. Pacemakers and implantable cardiac defibrillators (icds) are widely used for the management of cardiac arrhythmias and congestive heart failure (chf). Paces the heart muscles by providing an electrical. Classification follows pacemaker code developed by the north american society of pacing and electrophysiology (naspe) and the british pacing and electrophysiology group (bpeg). Icd 10 code for pacemaker. Implanting a pacemaker in your chest requires a surgical procedure. Yes an icd and the procedure is at or above the umbilicus as determined by the surgeon, proceduralist or designee. An implantable cardioverter defibrillator (icd) looks similar to a pacemaker, though slightly larger. Explore more like icd vs pacemaker x ray. Pertinent factors relating to each manufacturer's devices are referenced according to:

A pacemaker is a small device implanted in the chest. Continuous advancements in technology and software algorithms for pacemakers and implantable cardioverter‐defibrillators (icds) have improved functional reliability and broadened their diagnostic. Explore more like icd vs pacemaker x ray. Many devices combine a pacemaker and icd in one unit for people who need both functions. The aim of this study is to describe the incidence of lead.

1
1 from
How does an implantable cardioverter defibrillator work? how will a pacemaker affect my lifestyle? Movement and/or vibration of the pulse generator or leads. Sometimes, pacemaker and icd leads stop working properly due to damage or scar tissue accumulation. Implantable cardiac conduction devices (also known as cardiac implantable electronic devices or cieds) are a very common medical device of the thorax cardiac pacemakers may be temporary or permanent, with the latter commonly known by the acronym ppm (permanent pacemaker). How does a pacemaker work? ©2021 daily search trends feedback. Which pacemaker/icd is that again. What does icd stand for?

How does a pacemaker work?

Sometimes, pacemaker and icd leads stop working properly due to damage or scar tissue accumulation. What does icd stand for? Pacemaker and icd manufacturers are arranged in alphabetical order with devices organized in numeric sequence. Learn vocabulary, terms and more with flashcards, games and other study tools. An implantable cardioverter defibrillator (icd) looks similar to a pacemaker, though slightly larger. Pacemaker & icd are two different devices. A pacemaker is a small device implanted in the chest. How does a pacemaker work? Start studying pacemakers & icds. Accessed on june 11th 2021. Doctors also treat arrhythmias with implantable cardioverter defibrillators (icds). Icd ( implantable cardiac defibrillator) on the other hand senses a very fast or chaotic rhythm, known as ventricular fibrillation, and gives an electrical. Pertinent factors relating to each manufacturer's devices are referenced according to:

Pacemakers and implantable cardiac defibrillators (icds) are widely used for the management of cardiac arrhythmias and congestive heart failure (chf) icd pacemaker. Paces the heart muscles by providing an electrical.